CAM boot
Disclaimer
These guidelines have been produced to guide clinical decision making for the medical, nursing and allied health staff of Perth Children’s Hospital. They are not strict protocols, and they do not replace the judgement of a senior clinician. Clinical common-sense should be applied at all times. These clinical guidelines should never be relied on as a substitute for proper assessment with respect to the particular circumstances of each case and the needs of each patient. Clinicians should also consider the local skill level available and their local area policies before following any guideline.
Read the full CAHS clinical disclaimer
|
Mechanism of injury
Fractures suitable for Controlled Ankle Motion (CAM) boot use are usually sustained with inversion injuries of the ankle. Twisting injuries may cause a toddler’s fracture in younger children.
Examination
Swollen and tender lateral malleolus or base of fifth metatarsal.
Management
- The CAM boot should be worn day and night but can be removed for showering.
- Patients can weight bear as tolerated whilst wearing the CAM boot.
- It is recommended to wear a shoe on the other foot whilst walking in the CAM boot.
The following lists the fractures which are suitable for CAM boot use and the follow up required.1
Refer to the individual fracture guidelines for management of other fractures:
lower leg,
ankle,
foot.
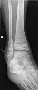
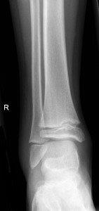
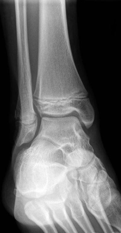
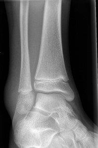
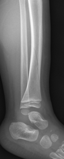
Avulsion fracture of distal fibula

- No formal follow up required.
Salter Harris I fracture of fibula

- No formal follow up required.
Undisplaced Salter Harris II fracture of fibula

- Follow up GP 7-10 days for repeat X-ray.
- If displaced, not suitable for CAM Boot.
Undisplaced epiphyseal fracture of distal fibula

- Follow up GP 7-10 days for repeat X-ray.
- If displaced, not suitable for CAM Boot.
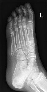
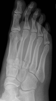
Avulsion fracture of base of fifth metatarsal

- Follow up Orthopaedic Fracture clinic 7- 10 days.
- If 4th and 5th inter-metatarsal joint involved (Jones Fracture), not suitable for CAM Boot.
Single and multiple non-displaced metatarsal fractures

- Follow up Orthopaedic fracture clinic in 7 - 10 days.
Toddler's fracture

- Follow up Orthopaedic Fracture Clinic in 1 week.
Procedure
Follow steps 1 to 6 to correctly apply the CAM Boot.
1. Measure the sole of the foot and add an extra 1-2 cm.

2. Measure the sole of the CAM Boot to select the appropriate size. Open Velcro® straps and remove excess padding.

3. Place the heel firmly down the back of the CAM Boot.

4. Place padding over the foot (if required) and fasten Velcro straps.

5. Ensure the toes are within the firm sole of the boot.

6. Depending on the injury:
- Weight bear as tolerated.
- Partial weight bear with crutches.
- Non-weight bearing with crutches.
Management paperwork
References
- Bradman K, Stannage K, O’Brien S, Green, S et al. Randomised controlled trial comparing immobilisation in above-knee plaster of Paris to controlled ankle motion boots in undisplaced paediatric spiral tibial fractures. (2021) Emerg Med J 2021;0:1–7. doi:10.1136/emermed-2020-210299
- Nelson Textbook of Pediatrics: 21st Edition Kliegman RM, St. Geme J, Blum NJ, Shah SS et al. Publisher: Elsevier 2020
| 4. Place padding over the foot (if required) and fasten Velcro straps. |
| 4. Place padding over the foot (if required) and fasten Velcro straps |
| 4. Place padding over the foot (if required) and fasten Velcro straps |
| Endorsed by: |
Co-director Surgical Services (Nursing) |
Date: |
Mar 2024 |
This document can be made available in alternative formats on request for a person with a disability.