Fractures - Femur
Disclaimer
These guidelines have been produced to guide clinical decision making for the medical, nursing and allied health staff of Perth Children’s Hospital. They are not strict protocols, and they do not replace the judgement of a senior clinician. Clinical common-sense should be applied at all times. These clinical guidelines should never be relied on as a substitute for proper assessment with respect to the particular circumstances of each case and the needs of each patient. Clinicians should also consider the local skill level available and their local area policies before following any guideline.
Read the full CAHS clinical disclaimer.
|
See Fractures – Overview for general assessment and management
Mechanism of injury
- Fall with a twisting injury or direct blow.
- High energy trauma such as sports and motor vehicle accidents.
- In children < 2 years of age, femoral shaft injuries should raise suspicion of non-accidental injury.
Examination
- Pain and swelling of the thigh with reluctance to move the hip and knee joints.
- Inability to weight bear.
- Leg may be shortened and externally rotated.
Imaging
- A femur X-ray should have Anterior Posterior (AP) and lateral views and include both the hip and knee joint.
- Look for dislocation of the hip.
Specific management
Proximal femur
- All proximal femoral fractures should be referred to the Orthopaedic team.
- A femoral nerve block should be done.
- Slipped Upper (or Capital) Femoral Epiphysis (SUFE) usually presents in adolescents with a history of chronic hip or knee pain but may also present acutely with trauma.
- Management involves strict bed rest, analgesia and Orthopaedic team referral for pinning. See Limp and hip pain.
- Hip dislocation is uncommon in children but may be associated with fracture. Early referral to the Orthopaedic team for reduction is important to reduce the incidence of osseous necrosis.
Shaft of Femur
- All femoral shaft fractures should be referred to the Orthopaedic team.
- Younger children will need traction +/- hip spica and older children may need intramedullary rods to stabilise the fracture.
- A femoral nerve block should be done.
- Traction splint should be applied once adequate analgesia has been given and femoral nerve block has been done.
- Diazepam - Medication Management Manual (internal WA Health only) orally is useful for muscle spasm and adequate oral analgesia should be provided prior to transfer to the ward. See Analgesia.

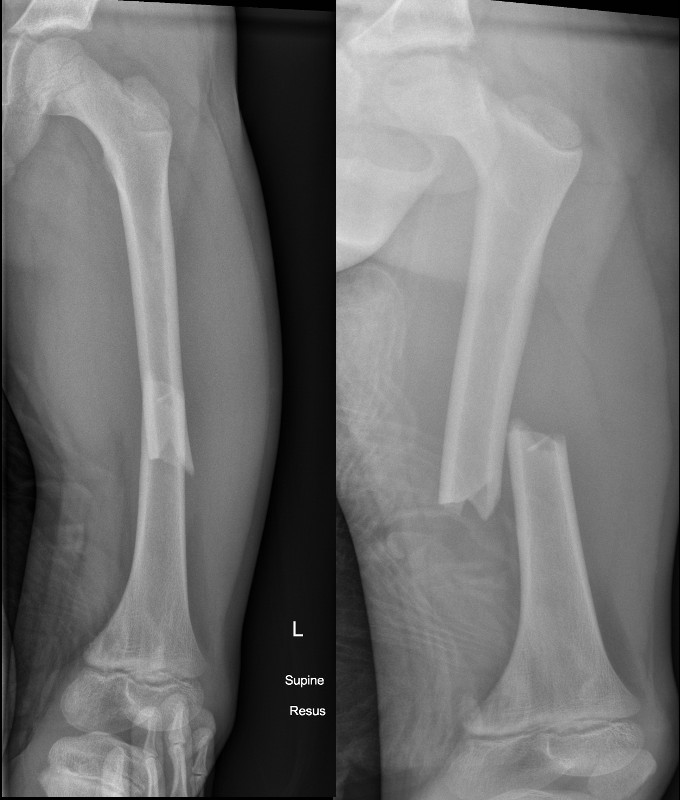
Spiral fracture of femur in a 3 month old which was the result of NAI. Note 'bucket handle' appearance of distal metaphysis

Transverse fracture of femur with displacement and shortening
References
- Rang M, Pring ME, Wenger DR. Kluwer W, Rang's Children's Fractures Fourth edition. Wolters Kluwer, 2018
- McRae R, Max Esser M, Practical Fracture Treatment Fifth Edition, Churchill Livingstone, 2008
| Endorsed by: |
Co-director Surgical Services (Nursing) |
Date: |
Mar 2024 |
This document can be made available in alternative formats on request for a person with a disability.